Un grupo de dominicanos florece en la tierra del hielo y el fuego Karen Veras, Diario Libre ...
Noticias del momento
Además, agencias de la ONU advirtieron un día antes que la escasez de combustible en Gaza alcanzó...
Así son los “juicios fantasmas” con los que la dictadura de Nicaragua condena a los presos políticos


Así son los “juicios fantasmas” con los que la dictadura de Nicaragua condena a los presos políticos
Según organismos que monitores los derechos humanos, en Nicaragua existen 53 presos políticos, de los cuales 14...
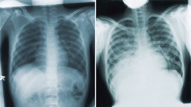
Una persona murió por peste neumónica en un hospital de Arizona, según autoridades sanitarias. (S. Brodsky/Centers for...
Policía Nacional activa la búsqueda de prófugo acusado de homicidio en Monte Plata Santo Domingo. – La...
Santo Domingo. – Amnistía Internacional (AI) respondió este viernes al presidente dominicano, Luis Abinader, que «evadir críticas...
Marco Rubio se reunión con su homólogo ruso, Serguéi Lavrov en Malasia.Imagen: Russian FM Press Service/Anadolu Agency/IMAGO Marco...
Legisladores de Florida que visitaron ‘Alligator Alcatraz’ dicen que los detenidos están hacinados en jaulas Por Alaa Elassar y Rafael...
Mary Yerlyn Paulajulio 11, 2025 Sede de la Procuraduría General de la República. COMPARTIR Panorama Justicia....
El ministro de Asuntos Exteriores de Irán, Abbas Araghchi (EFE/Tatyana Makeyeva) Lo afirmó el ministro de Asuntos...














